Advertisement intended for health care professionals

l

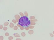
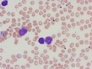
Adult T-cell leukemia/lymphoma peripheral smear - 3.

Adult T-cell leukemia/lymphoma peripheral smear - 3.
#00004190
Author: John Lazarchick
Category: Lymphoma: Mature T and NK cell lymphoproliferations > Mature T-cell Leukemias > Adult T-cell Leukemia/Lymphoma
Published Date: 11/01/2009

The previous image is shown at higher magnification in order to highlight the "flower" cell morphology.


Advertisement intended for health care professionals