Advertisement intended for health care professionals

l

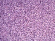
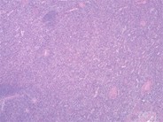
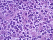
Ruptured spleen due to infectious mononucleosis - 6.

Ruptured spleen due to infectious mononucleosis - 6.
#00004207
Author: Serhan Alkan
Category: Reactive Marrow > Reactive changes
Published Date: 03/01/2010

The T cells in the red pulp are predominantly cytotoxic T cells, as noticed in this CD8 slide.


Advertisement intended for health care professionals