Advertisement intended for health care professionals

l

Adrenal myelolipoma - 1.

Adrenal myelolipoma - 1.
#00004244
Author: Marvin Cooper; Haritha Pabbathi;
Category: Laboratory Hematology > Normal and reactive bone marow
Published Date: 03/01/2010

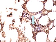
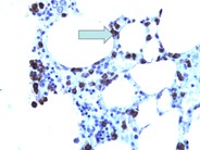
A 45-year-old-male with history of hypertension presented with fever, right flank pain. Physical exam unremarkable except for right CVA tenderness. Laboratory results were normal . A CT scan of abdomen and pelvis with IV contrast demonstrated 0.7 cm low attenuated mass with calcifications in the right adrenal gland . A laparoscopic resection of the adrenal gland was performed. Pathological examination of the adrenal mass revealed extramedullary hematopoesis admixed with fat cells (arrow).


Advertisement intended for health care professionals