Advertisement intended for health care professionals

l

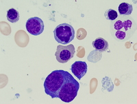
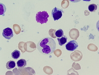
Refractory anemia with excess blasts -1 (RAEB-1) 7

Refractory anemia with excess blasts -1 (RAEB-1) 7
#00060186
Author: Elizabeth L. Courville, MD
Category: Myeloid Neoplasms and acute leukemia (WHO 2016) > Myelodysplastic Syndromes (MDS) > MDS with excess blasts
Published Date: 10/03/2015

The trephine core is hypercellular for age. There is megakaryocyte dysplasia including small monolobated megakaryocytes and megakaryocytes with separated nuclear lobes.


Advertisement intended for health care professionals