Advertisement intended for health care professionals

l

Disseminated Mucormycosis

Disseminated Mucormycosis
#00060393
Author: Rohit Kumar, Sharath Vipparthy
Category: Myeloid Disorders > Acquired Neutropenia > Drug-induced Neutropenia
Published Date: 02/09/2016

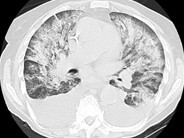
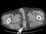
A 42-year-old male with history of myelodysplastic syndrome with progression to acute myeloid leukemia, which relapsed after induction therapy, was admitted to the hospital for initiation of Clofarabine therapy to reduce disease burden prior to bone marrow transplantation. On admission his white cell count (WBC) was 5200/uL with 77% blast cells and absolute neutrophil count(ANC) of 104/uL. Day 2, after chemotherapy, he was febrile and his WBC was 0/uL. He was empirically started on imipenem, daptomycin and amphotericin. Day 4, he developed erythematous lesion on abdomen(Fig.A) and right big toe(Fig.B). Computed tomography showed bibasilar pulmonary and hepatosplenic lesions (Fig C&D). The abdominal skin lesion developed a necrotic center with erythematous halo. All cultures were negative but KOH preparation from skin lesion showed nonseptate hyphae. Skin punch biopsy results were suggestive of mucormycosis. Patient was presumed to have disseminated mucormycosis. He failed to respond to dual antifungal therapy of high dose amphotericin and caspofungin. Disseminated mucormycosis is a rare and mostly fatal complication in severely immunocompromised patients.

Advertisement intended for health care professionals