Advertisement intended for health care professionals

l

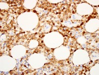
Hairy cell leukemia 1

Hairy cell leukemia 1
#00060477
Author: Joo Y. Song, MD
Category: Lymphoma: Mature B-cell and Plasma cell Neoplasms > Splenic lymphomas > Hairy Cell Leukemia
Published Date: 02/22/2016

The bone marrow shows a diffuse infiltrate composed of atypical cells with a "fried egg" appearance.


Advertisement intended for health care professionals