Advertisement intended for health care professionals

l

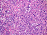
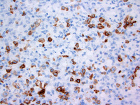
Anaplastic large cell lymphoma, ALK-positive 2

Anaplastic large cell lymphoma, ALK-positive 2
#00060484
Author: Joo Y. Song, MD
Category: Lymphoma: Mature T and NK cell lymphoproliferations > Mature T-cell Lymphomas > Anaplastic Large Cell Lymphoma, ALK positive
Published Date: 02/22/2016

The large neoplastic cells are pleomorphic with occasional Hallmark cells seen.


Advertisement intended for health care professionals