Advertisement intended for health care professionals

l

Massive hemolysis and erythrophagocytosis in severe sepsis

Massive hemolysis and erythrophagocytosis in severe sepsis
#00060659
Author: Arend-Jan Meinders; Ineke Dijkstra
Category: Red Cell: Hemolytic Anemia (HA) > Acquired non-immune HAs > Infection-related hemolysis
Published Date: 05/03/2016

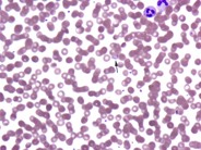
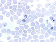
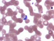
A 61-year-old female patient with an uneventful medical history was admitted to the emergency department because of icterus and abdominal discomfort. Upon arrival, she was hemodynamically stable. No laboratory tests could be performed because of a massive hemolysis (panel A), so the decision was made to perform a direct blood smear, which showed 2 species of bacteria and erythrophagocytosis (panels B and C). The patient deteriorated acutely and was admitted to the intensive care unit, where she was intubated and started on massive inotropes and broad-spectrum antibiotics, under the hypothesis that she was in septic shock. Repeated blood samples showed severe hemolysis with no possibility of chemical or hematologic testing. The patient died within 1 hour as a result of overwhelming sepsis. Postmortem blood cultures showed Clostridium perfringens and Escherichia coli bacteremia. The autopsy revealed an infected hematoma in the liver hilum as the source of the sepsis. Clostridium septicemia is known for its massive hemolysis and poor prognosis. This case shows that a direct blood smear can be a fast and relevant test to diagnose severely ill patients.

Advertisement intended for health care professionals