Advertisement intended for health care professionals

l

Pancytopenia in a patient with methylmalonic acidemia

Pancytopenia in a patient with methylmalonic acidemia
#00060668
Author: Suzanne MacFarland; Helge Hartung
Category: Bone marrow failure > Acquired Bone marrow failure > Acquired Aplastic Anemia
Published Date: 05/03/2016

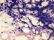
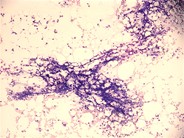
A 4-year-old girl with a known history of methylmalonic acidemia (MMA) complicated by acquired hypothyroidism, failure to thrive, and developmental delay developed pancytopenia during an admission for emesis and metabolic acidosis. She had no symptoms of a viral infection, and her cytopenias worsened over 3 weeks despite resolution of her acidosis. Her complete blood count showed a total white blood cell count of 3.1 × 10 9/L with an absolute neutrophil count of 510 /μL, hemoglobin of 6.8 g/dL, and platelets of 24 × 10 9/L. Given the long duration and unusual severity of the cytopenias, evolving aplastic anemia was considered, and a bone marrow aspirate and biopsy were performed. These showed trilineage hypoplasia and prominent dysplasia (see inset panel, arrows), including multiple vacuolated myeloid precursors (see large panel, arrows). Testing for underlying viral causes by serology and polymerase chain reaction was negative, as was testing for inherited bone marrow failure syndromes and myelodysplastic syndrome/leukemia. Her peripheral counts recovered spontaneously and fully over the ensuing 4 weeks. Interestingly, she was found to have recurrence of cytopenias on subsequent admissions for MMA-associated metabolic crises, correlating with the level of acidosis.Patients with MMA and other organic acidemias can develop bone marrow hypoplasia and trilineage dysplasia during metabolic crises, a phenomenon that has been described in a few case reports in the older literature. Cytopenias tend to correlate with organic acid levels in the blood, and count recovery typically occurs within 2 weeks, after normalization of the metabolic state. No specific treatment is needed outside of supportive care.

Advertisement intended for health care professionals