Advertisement intended for health care professionals

l

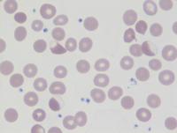
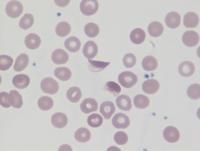
Sickle cell

Sickle cell
#00060836
Author: Girish Venkataraman, MD, MBBS
Category: Red Cell: Hemoglobin disorder > Sickle cell anemia and related sickling syndromes
Published Date: 08/28/2016

Rare sickle cell admixed with irregular contracted red cell.


Advertisement intended for health care professionals