Advertisement intended for health care professionals

l

Epstein-Barr virus associated with a lymphoma-mimicking lesion of the uterine cervix

Epstein-Barr virus associated with a lymphoma-mimicking lesion of the uterine cervix
#00060844
Author: Ikue Okamura; Takashi Ikeda
Category: Infectious Disease > Viruses > Epstein-Barr Virus
Published Date: 09/10/2016

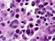
A previously healthy 26-year-old woman underwent a routine Papanicolaou test a few weeks after first coitus. As the results suggested atypical squamous cells of uncertain significance, she was referred to a gynecologist. The uterine cervix appeared grossly normal. Microscopic examination of the blind biopsies of the cervix demonstrated diffuse infiltration of atypical large lymphoid cells admixed with small lymphocytes (panels A-B; hematoxylin and eosin, original magnifications ×10 [A] and ×40 [B]). The large lymphocytes were immunoreactive for CD20 (panel C; CD20, original magnification ×4 [inset ×40]) and CD79a, partially positive for BCL-6 and MUM-1, and negative for CD3e, CD5, CD10, BCL-2, and cyclin D1. In situ hybridization of Epstein-Barr virus (EBV)–encoded small RNAs (EBER) was positive (panel D; EBER, original magnification ×4 [inset ×20]). The proliferation fraction, as detected by Ki-67 staining, was high. The surrounding small lymphocytes stained for CD3e, CD5, and CD8. The patient had no symptoms suggesting infectious mononucleosis, nor did she show any abnormalities under comprehensive hematological examinations. The lesion was diagnosed as atypical lymphoid hyperplasia associated with EBV infection. Follow-up examination of cervical biopsies taken every 6 months demonstrated no atypical lymphoid cell infiltration.The majority of immunoblasts in cases of infectious mononucleosis are CD20 + B cells with a post–germinal center immunophenotype. EBV infection also causes reactive lymphoid hyperplasia in the uterine cervix of healthy young adults and, although benign, can easily mimic malignant lymphoma.

Advertisement intended for health care professionals