Advertisement intended for health care professionals

l

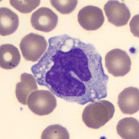
Monocyte

Monocyte
#00060935
Author: Teresa Scordino
Category: Normal cells > Blood cells > Normal monocyte
Published Date: 12/03/2016

Monocytes measure 12-20 microns in diameter, and have abundant grayish-blue cytoplasm and fine, azurophilic cytoplasmic granules.  Cytoplasmic vacuoles may be present.  The nucleus is irregular, indented or kidney-shaped.   Although the chromatin is condensed, it is somewhat finer than the chromatin of a mature neutrophil or resting lymphocyte.   

Advertisement intended for health care professionals