Advertisement intended for health care professionals

l

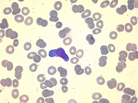
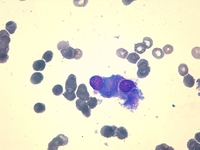
Auer rod-like inclusions in multiple myeloma 3

Auer rod-like inclusions in multiple myeloma 3
#00060976
Author: BOUAYADI OUARDIA
Category: Lymphoma: Mature B-cell and Plasma cell Neoplasms > Plasma Cell Neoplasm > Plasma cell myeloma
Published Date: 03/06/2017

We report a case of IgG kappa multiple myeloma, in which the plasma cells showed multiple azurophilic, Auer rod-like intracytoplasmic inclusions in May-Grunwald-
Giemsa-stained marrow smears.


Advertisement intended for health care professionals