Advertisement intended for health care professionals

l

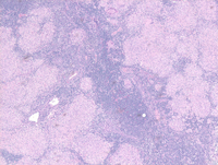
Giant cells in Sarcoidosis

Giant cells in Sarcoidosis
#00061173
Author: Sadhika Sood; Girish Venkataraman
Category: Infectious Disease > Viruses > Human Immunodeficiency Syndrome > Granulomas
Published Date: 11/22/2017

The lymph node biopsy image on low power shows multiple non-caseating granulomas of varying sizes arranged compactly with each other. On high power, characteristic Langhans giant cells with multiple peripheral nuclei are seen, surrounded by epithelioid cells and lymphocytes. However, asteroid bodies and Schaumann bodies which are characteristic of sarcoidosis are not appreciated.


Advertisement intended for health care professionals