Advertisement intended for health care professionals

l

Giant platelets 5

Giant platelets 5
#00061202
Author: Kashmi Sharma, Prakhar Sharma
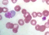
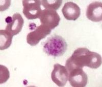
Category: Platelet and Megakaryocyte Disorders > Hereditary Platelet Disorders > Bernard-Soulier Syndrome (glycoprotein Ib-IX deficiency or defect)
Published Date: 01/15/2018

Numerous giant platelets in Bernard- Soulier syndrome caused due to quantitative or qualitative defects of the platelet glycoprotein complex GPIb/V/IX.


Advertisement intended for health care professionals