Advertisement intended for health care professionals

l

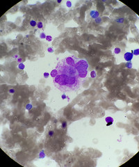
ITP megakaryocyte morphology

ITP megakaryocyte morphology
#00061320
Author: Najmaldin Saki, PhD; Alireza Ordo; Ali Aminasnafi, MD
Category: Platelet and Megakaryocyte Disorders > Thrombocytopenia > Increased destruction or consumption of platelets > Idiopathic Thrombocytopenic Purpura
Published Date: 03/11/2018

Various morphological changes in megakaryocytes are reported in  a patient with ITP


Advertisement intended for health care professionals