Advertisement intended for health care professionals

l

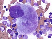
Bare megakaryocyte

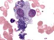
Bare megakaryocyte
#00061370
Author: Timothy C Carll, MD; Girish Venkataraman, MD, MBBS
Category: Reactive Marrow > normal Hematopoietic cells – covered in atlas (additional examples can go here) > Megakaryocytes
Published Date: 03/23/2018

Bare megakaryocyte nucleus

 

Circulating bare megakaryocyte nuclei are often seen in the context of myeloproliferative neoplasms. They may be confused with lymphocytes but the preserved nucleus and absent cytoplasm is good clue.

 

Flashcards2018

Advertisement intended for health care professionals