Advertisement intended for health care professionals

l

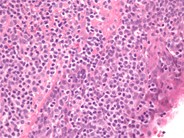
Lymphoepithelial lesion

Lymphoepithelial lesion
#00061375
Author: Timothy C Carll, MD; Girish Venkataraman, MD, MBBS
Category: Lymphoma: Mature B-cell and Plasma cell Neoplasms > Low-grade B-cell lymphoma > Extranodal Marginal Zone Lymphoma of the mucosa-associated lymphoid tissue (MALT lymphoma)
Published Date: 03/23/2018

Lymphoepithelial lesion; clusters of monocytoid lymphocytes are infiltrating the bronchiolar epithelium.

 

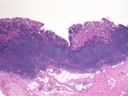
Mucosa-associated lymphoid tissue (MALT) lymphoma.

 

Flashcards2018

Advertisement intended for health care professionals