Advertisement intended for health care professionals

l

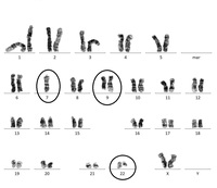
Philadelphia Chromosome by karyotype

Philadelphia Chromosome by karyotype
#00061436
Author: Mr Anil Kumar Yadav, Dr Manorama Bhargava
Category: Myeloid Neoplasms and acute leukemia (WHO 2016) > Precursor Lymphoid Neoplasms > B-lymphoblastic leukemia/lymphoma > B-Lymphoblastic Leukemia/Lymphoma, with recurrent genetic abnormalities > B-Lymphoblastic Leukemia/Lymphoma with t(9;22)(q34;q11.2); BCR-ABL1
Published Date: 05/11/2018

33 years old, pre B ALL male patient with aberrant CD13 and CD33 

Advertisement intended for health care professionals