Advertisement intended for health care professionals

l

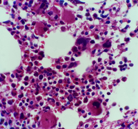
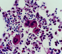
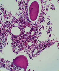
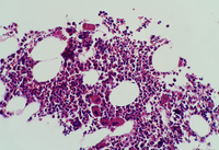
Immune thrombocytopenic purpura (ITP) bone marrow biopsy view 8

Immune thrombocytopenic purpura (ITP) bone marrow biopsy view 8
#00061495
Author: Najmaldin Saki (Ph.D.); Tina Vosoughi (M.D.); Niloofar Yazdani Rad (M.D.); Seyed Mohammad Sadegh Pezeshki (M.Sc.)
Category: Platelet and Megakaryocyte Disorders > Thrombocytopenia > Increased destruction or consumption of platelets
Published Date: 06/21/2018

immune thrombocytopenic purpura (ITP) is a common autoimmune disorder associated with immunologic degradation of platelets and reduced platelet counts in Peripheral blood and increase of megakaryocytes in Bone marrow of patients which leads to bleeding risk in patients. Here we present a biopsy of an adult male patient with ITP. The biopsy of bone marrow confirms the diagnosis


Advertisement intended for health care professionals