Advertisement intended for health care professionals

l

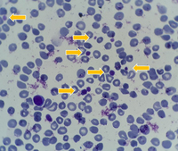
presentation of many large platelets in peripheral blood 2

presentation of many large platelets in peripheral blood 2
#00061538
Author: Najmaldin Saki (Ph.D.); Hadi Rezaeeyan (M.Sc.); Seyed Mohammad Sadegh Pezeshki (M.Sc.)
Category: Laboratory Hematology > Basic cell morphology > Morphologic variants of platelets (cross-reference with specific diagnoses when appropriate > Large and giant platelets  
Published Date: 07/02/2018

Here we present a case of patient with many large platelets in his peripheral blood smear. Large platelets are often found in platelet disorders such as  Bernard-Soulier syndrome, gray platelet syndrome and May-Hegglin anomaly. Due to Red Blood Cell  resistance to lysis in Red Blood Cell /platelet  chamber in  automatic analyzer, platelet count was less than normal and it seemed that patient is thrombocytopenic. After rechecking patients smear, platelet count was found to be normal and there was many large platelets in his smear. In this set of image we have shown large platelets with yellow arrows and giant platelets with red arrows.


Advertisement intended for health care professionals