Advertisement intended for health care professionals

l

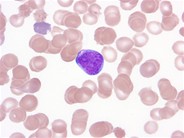
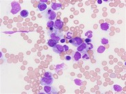
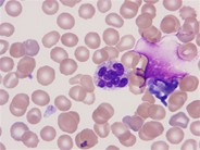
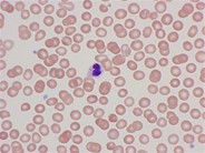
JMML-CD34

JMML-CD34
#00061588
Author: Girish Venkataraman, MD, MBBS; Aliya Noor Husain, MD; Paula Kovarik, MD; James Vardiman, MD; Joseph Pyle, MD
Category: Myeloid Neoplasms and acute leukemia (WHO 2016) > Myelodysplastic/myeloproliferative neoplasms (MDS/MPN) > Juvenile Myelomonocytic Leukemia (JMML)
Published Date: 07/05/2018

See reference case on JMML for descriptions of slide.

Advertisement intended for health care professionals