Advertisement intended for health care professionals

l

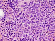
AML-CEBPA-HE

AML-CEBPA-HE
#00061616
Author: Girish Venkataraman, MD, MBBS; James Vardiman, MD
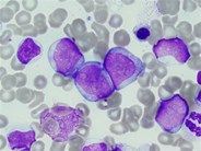
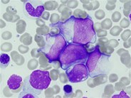
Category: Myeloid Neoplasms and acute leukemia (WHO 2016) > Acute Myeloid Leukemia > Acute Myeloid Leukemia with recurrent genetic abnormalities > AML with mutated CEBPA
Published Date: 07/09/2018

See reference case of AML with mutated CEBPA for details of this image.

Advertisement intended for health care professionals