Advertisement intended for health care professionals

l

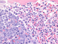
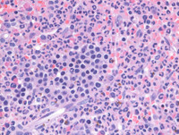
MPN JAK2-PCM1-Biopsy HE

MPN JAK2-PCM1-Biopsy HE
#00061645
Author: Girish Venkataraman, MD, MBBS
Category: Myeloid Neoplasms and acute leukemia (WHO 2016) > Myeloid/lymphoid neoplasms with eosinophilia and gene rearrangement > Myeloid/lymphoid neoplasms with PCM1-JAK2 (provisional)
Published Date: 07/09/2018

See reference case of MPN with JAK2-PCM1 fusion for details.

Advertisement intended for health care professionals