Advertisement intended for health care professionals

l

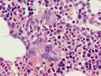
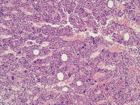
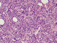
MPN-Polycythemia Vera

MPN-Polycythemia Vera
#00061661
Author: Girish Venkataraman, MD, MBBS
Category: Myeloid Neoplasms and acute leukemia (WHO 2016) > Myeloproliferative Neoplasms (MPN) > Polycythemia Vera (PV) > Proliferative phase
Published Date: 07/10/2018

See reference case of Polycythemia vera for further details.

Advertisement intended for health care professionals