Advertisement intended for health care professionals

l

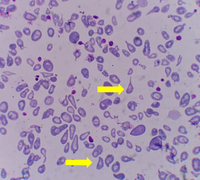
HbH disease with teardrop cell presentation in PBS

HbH disease with teardrop cell presentation in PBS
#00061789
Author: Najmaldin Saki (Ph.D.); Bijan Keikhaei (M.D.); Seyed Mohammad Sadegh Pezeshki (M.Sc.)
Category: Red Cell: Hemoglobin disorder > Quantitative disorders (thalassemias) > Alpha-thalassemia > HbH disease (-a/--)
Published Date: 08/07/2018

A 16 years old girl referred to us with anemia with an abnormal complete blood count (CBC) test result (A). after clinical examinations performed by physician and according to CBC result patient was asked to do Hemoglobin (Hb) electrophoresis test (B). As you can see in this set of pictures, electrophoresis confirmed HbH disease (B) because of presence of HbH (1.1%). Furthermore, we have rechecked peripheral blood smear of patient. Smear was full of tear drop cells and showed severe anisocytosis and hypochromia. We used yellow arrows to show some of tear drop cells in pictures.

Advertisement intended for health care professionals