Advertisement intended for health care professionals

l

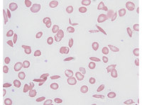
Blood-Tear Drop cells

Blood-Tear Drop cells
#00061857
Author: Girish Venkataraman, MD, MBBS
Category: Morphologic variants of normal cells > Morphologic variants of Red Blood Cells/precursors > Normal Red blood cell morphology with resting lymphocyte for comparison > Poikilocytosis > Teardrop (dacrocyte) cells
Published Date: 09/08/2018

Peripheral blood film showing two tear drop cells in the center of the field.

Advertisement intended for health care professionals