Advertisement intended for health care professionals

l

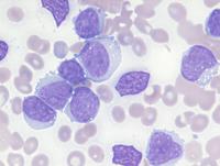
Circulating prolymphocytes in B cell prolymphocytic leukemia (B-PLL)

Circulating prolymphocytes in B cell prolymphocytic leukemia (B-PLL)
#00061865
Author: Kirill A. Lyapichev, MD; Xin Han, MD
Category: Lymphoma: Mature B-cell and Plasma cell Neoplasms > B-Prolymphocytic Leukemia
Published Date: 09/20/2018

The peripheral blood smear shows a relatively monomorphic population of large lymphocytes with scant basophilic agranular cytoplasm and polygonal nuclei with large and prominent nucleoli.

Advertisement intended for health care professionals