Advertisement intended for health care professionals

l

A rare case of renal intravascular NK/T-cell lymphoma

A rare case of renal intravascular NK/T-cell lymphoma
#00061878
Author: Mohamed Elshiekh; Kikkeri N. Naresh
Category: Lymphoma: Mature T and NK cell lymphoproliferations > Mature T-cell Lymphomas > Extranodal NK and T-cell Lymphoma, nasal type
Published Date: 09/25/2018

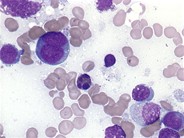
A 79-year-old Afro-Caribbean man, with hypertension and monoclonal gammopathy of undetermined significance, was admitted with acute nephrotic syndrome, anemia, and elevated conjugated bilirubin. Neither palpable lymphadenopathy nor hepatosplenomegaly was found. Bone marrow trephine showed no malignancy. Imaging revealed diffusely echogenic kidneys suggestive of intrinsic renal disease without signs of malignancy. Renal biopsy showed small intracapillary collections of large highly atypical lymphoid cells (panels A-C; hematoxylin and eosin stain, original magnification ×200 [A], ×100 [B], ×400 [C]). CD34 immunostaining confirmed clear delineation of vascular lumina containing atypical cells (panel D; original magnification ×100). The atypical cells expressed EBER (panel E; original magnification ×600), CD56 (weak) (panel F; original magnification ×400), granzyme B (panel G; original magnification ×200), CD3 (focal), MUM1, MYC, and Ki67. They were negative for CD2, CD5, CD7, CD4, CD8, CD30, ALK, CD138, CD10, B-cell markers, cyclin D1, and keratins. Collapsing-type focal segmental glomerulosclerosis (paraneoplastic phenomenon) was present, and tubuloreticular inclusions were noted in endothelial cells on electron microscopy. Peripheral blood and bone marrow aspirate flow cytometry showed no abnormality. The patient was diagnosed with Epstein-Barr virus–positive intravascular natural killer (NK)/T-cell lymphoma and died within 3 weeks.With only 18 published cases of intravascular NK/T-cell lymphoma, this is a rare entity. The majority of cases involved the skin and/or central nervous system. This is the first documented example of intravascular NK/T-cell lymphoma diagnosed on renal biopsy following presentation as acute nephrosis.

Advertisement intended for health care professionals