Advertisement intended for health care professionals

l

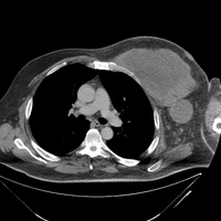
DLBCL/DHL-CT Chest 2

DLBCL/DHL-CT Chest 2
#00062021
Author: Girish Venkataraman, MD, MBBS; Jonathan Chung, MD
Category: Lymphoma: Mature B-cell and Plasma cell Neoplasms > Large B-cell lymphomas (not Richter transformation) > High grade B-cell lymphoma with MYC, BCL2 and/or BCL6 translocations*
Published Date: 11/03/2018

CT chest of a patient with refractory double hit lymphoma showing a very large mass in the superoanterior aspect of the left chest wall extending into the neck (not shown). There was associated necrosis or infection within this mass with probable invasion of the left internal carotid artery and left subclavian artery with possible invasion into the left lobe of the thyroid gland.


Advertisement intended for health care professionals