Advertisement intended for health care professionals

l

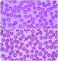
Dapsone induced hemolysis

Dapsone induced hemolysis
#00062300
Author: Ke Xu, MD
Category: Red Cell: Hemolytic Anemia (HA) > Acquired non-immune HAs > Drugs and toxin-related HAs
Published Date: 04/01/2019

Peripheral blood film with frequent bite cells from a patient receiving dapsone for folliculitis decalvans. This patient developed hemolytic anaemia soon after dapsone was started. The direct antiglobulin test was negative. Hemoglobinopathy screen was normal. G6PD screen showed normal G6PD activity. Her hemolysis resolved after dapsone was stopped.

Advertisement intended for health care professionals