Advertisement intended for health care professionals

l

Atypical Microangiopathic Hemolytic Anemia: Case report

Atypical Microangiopathic Hemolytic Anemia: Case report
#00062396
Author: Manish Raturi, MD, MBBS; Divya Rai, MD, MBBS
Category: Red Cell: Hemolytic Anemia (HA) > Acquired non-immune HAs > Fragmentation Hemolysis > Microangiopathic Hemolytic Anemias
Published Date: 07/15/2019

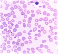
1.      Schistocytes (fragmented erythrocytes) on the peripheral blood smear suggest erythrocyte injury from damaged endothelium which is a characteristic feature of microangiopathic hemolytic anaemia [MAHA]. This is often considered an unusual cause of Coombs-negative intravascular hemolysis.

2.      Classical MAHA presents with reduced platelet count. Albeit, we herein report the case of a 34-year-old female with an atypical presentation of MAHA having severe ADAMTS13 deficiency (≤ 15% of control value) with normal platelet count [139 x 109/L].

3.      Interestingly, the possibility of TTP / HUS is generally considered when the sudden onset of fall in platelet count (almost as low as 20 × 109/L), is seen in association with either renal derangement and or fluctuating neurologic features. On the contrary, our patient had normal platelet count throughout her hospital stay. Additionally, she also denied having undergone any valvular prosthesis in the past.  

4.      Her current peripheral blood smear, however, showed the presence of schistocytes (around 30%) accompanied by the presence of giant platelets [Figure 1(b)] in comparison to the typical picture of MAHA [Figure 1(a)].

5.      The patient underwent five cycles of plasma exchange along with low dose aspirin and folic acid supplementation [5mg oral daily].

6.      At the time of discharge, her overall clinical condition had improved quite remarkably.

Advertisement intended for health care professionals