Advertisement intended for health care professionals

l

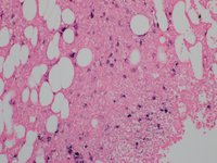
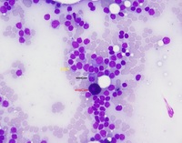
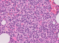
Lymphoplasmacytic Lymphoma CD138

Lymphoplasmacytic Lymphoma CD138
#00062411
Author: Amandeep Kaur, MD,MBBS; Mir Alikhan MD
Category: Lymphoma: Mature B-cell and Plasma cell Neoplasms > Low-grade B-cell lymphoma > Lymphoplasmacytic lymphoma
Published Date: 07/11/2019

CD138 positive plasma cells are arranged singly and in small clusters. The background shows CD138 negative hematopoetic cells. 


Advertisement intended for health care professionals