Advertisement intended for health care professionals

l

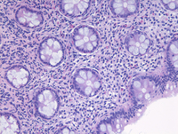
Mastocytosis CD117

Mastocytosis CD117
#00062447
Author: Reva Channah Goldberg; Girish Venkataraman; Megan Parilla; Lindsay Alpert
Category: Myeloid Neoplasms and acute leukemia (WHO 2016) > Mastocytosis
Published Date: 07/18/2019

CD117 immunostain demonstrates strong positivity within the infiltrate, consistent with mast cells. Note that this infiltrate extends deeper in the lamina propria as seen at the bottom of this image.


Advertisement intended for health care professionals