Advertisement intended for health care professionals

l

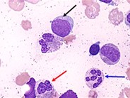
Dsyplastic Neutrophil

Dsyplastic Neutrophil
#00062448
Author: Reva Channah Goldberg; Girish Venkataraman
Category: Myeloid Neoplasms and acute leukemia (WHO 2016) > Acute Myeloid Leukemia > AML with multilineage dysplasia
Published Date: 07/18/2019

Peripheral blood smear demonstrating single dysplastic neutrophil with markedly hypogranular cytoplasm, abnormal chromatin clumping, nuclear hypolobation.

Advertisement intended for health care professionals