Advertisement intended for health care professionals

l

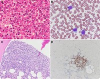
Reactive germinal centers in the bone marrow of an infant with autoimmune neutropenia

Reactive germinal centers in the bone marrow of an infant with autoimmune neutropenia
#00062758
Author: Weijie Li; Nazia Tabassum Iqbal
Category: Myeloid Disorders > Acquired Neutropenia > Primary Autoimmune Neutropenia
Published Date: 09/16/2019

An 11-month-old boy presented with history of recurrent fever for a few months, and was found to have neutropenia (neutrophil count 0.16 × 10 9/L), mild anemia (hemoglobin 11 g/dL), and normal platelet count (376 × 10 9/L). Granulocyte immunofluorescence test was positive. Bone marrow (BM) biopsy was performed and showed slightly hypercellular (90%-100%) marrow with maturing trilineage hematopoiesis. Neutrophilic precursors were slightly increased in number and showed complete maturation from promyelocytes to bands. Segmented neutrophils were markedly reduced to absent. The finding of the BM was compatible with primary autoimmune neutropenia (AIN). Interestingly, BM showed a few nonparatrabecularly located lymphoid aggregates with reactive germinal centers (panels A-B; hematoxylin and eosin stain, original magnification ×200 [A], ×400 [B]). The immunohistochemistry stains for CD79a, CD20, BCL6, and CD3 showed normal pattern (panels C-F; original magnification ×400).Reactive germinal centers are rarely seen in BM, especially in children. It is reportedly seen in autoimmune diseases, infections, malignancies, or use of certain drugs. AIN is a disease characterized by peripheral neutrophil destruction caused by antibodies against neutrophil membrane antigens, mostly immunoglobulin G Fc receptor type 3b (CD16b). It is the most common neutropenia in children younger than 3 to 4 years, and in most cases shows a benign, self-limited course.

Advertisement intended for health care professionals