Advertisement intended for health care professionals

l

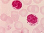
Lymphocytes in Sanfilippo syndrome display characteristic Alder-Reilly anomaly

Lymphocytes in Sanfilippo syndrome display characteristic Alder-Reilly anomaly
#00062800
Author: Louis Do; Leonardo Pasalic
Category: Laboratory Hematology > Basic cell morphology > Morphologic variants of white blood cells > Alder Reilly  
Published Date: 10/08/2019

A 22-year-old woman was admitted to our hospital for management of respiratory failure due to parainfluenza virus infection and aspiration, requiring noninvasive ventilation. She had a history of Sanfilippo disease (mucopolysaccharidosis type 3B; diagnosed at a different institution) that manifested clinically with severe intellectual disability, chronic respiratory disease with suppurative bronchitis, seizure disorder, obstructive sleep apnea, scoliosis, and required gastrostomy feeding.A peripheral blood film was performed during this admission that showed a leukoerythroblastic picture, with nucleated red cells and left-shifted myelopoiesis, all features of bone marrow stress. The lymphocytes displayed cytoplasmic vacuoles, as well as azurophilic granules surrounded by halos, called Alder-Reilly anomaly, in keeping with Sanfilippo syndrome (panels A-F; Wright-Giemsa stain, original magnification ×1000, background image original magnification ×400). The differentials of the lymphocyte features include ehrlichiosis and large granular lymphocytes, with the latter displaying azurophilic granules that are often slightly smaller than those found in the mucopolysaccharidosis syndromes and are not surrounded by halos.

Advertisement intended for health care professionals