Advertisement intended for health care professionals

l

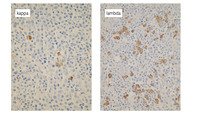
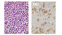
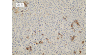
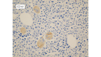
Myeloma-Bone marrow trephine

Myeloma-Bone marrow trephine
#00062841
Author: Jay Mehta MD
Category: Lymphoma: Mature B-cell and Plasma cell Neoplasms > Plasma Cell Neoplasm > Plasma cell myeloma
Published Date: 11/25/2019

This is a markedly hypercellular bone marrow showing hardly any fat spaces. 


Advertisement intended for health care professionals