Advertisement intended for health care professionals

l

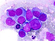
endomitosis in malignant plasma cell

endomitosis in malignant plasma cell
#00062854
Author: Isil Erdogan Özünal, MD; Ayse Salihoglu, MD; Teoman Soysal, MD
Category: Lymphoma: Mature B-cell and Plasma cell Neoplasms > Large B-cell lymphomas (not Richter transformation) > Plasmablastic lymphoma
Published Date: 11/29/2019

Atypical malignant cell that differentiates into plasma cell by eccentric nucleus and Russell bodies in cytoplasm, endomitosis (division of chromosomes not followed by nuclear division) caused 3 nucleated cell, bone marrow aspirate in a patient diagnosed with Richter' s transformation to plasmablastic lymphoma from chronic lymphocytic leukemia 

Advertisement intended for health care professionals