Advertisement intended for health care professionals

l

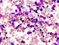
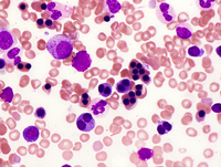
Figure 1

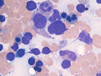
Figure 1
#00062864
Author: Reena Das, MD; Manu Jamwal; Prashant Sharma; Deepak Bansal
Category: Red Cell: Other Disorders > Congenital Dyserythropoietic Anemias (CDA) > Congenital Dyserythropoietic Anemia, type II
Published Date: 11/29/2019

Peripheral smear showing anisopoikilocytosis and nucleated red cells.

Advertisement intended for health care professionals