Advertisement intended for health care professionals

l

Secondary myelofibrosis as paraneoplastic phenomenon in patient with signet ring adenocarcinoma

Secondary myelofibrosis as paraneoplastic phenomenon in patient with signet ring adenocarcinoma
#00062983
Author: Man Wai Tang, MD,PhD; Marie José Kersten, MD, PhD
Category: Underproduction Anemias > Pure Red Cell Aplasia > Paraneoplastic
Published Date: 04/13/2020

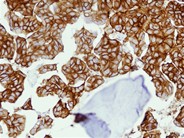
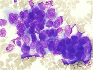
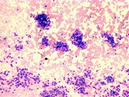
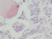
A 36-year old man presented with abdominal tenderness and pain in both legs. He had no significant medical history and was using acetaminophen and opioids for his pain. A CT-scan showed no abnormalities except for diffuse sclerosis of the lumbar spine and pelvic bones,  which could fit the diagnosis of myelofibrosis, metabolic disorder or malignancy (A). A bone marrow biopsy showed 100% cellularity (B). Using the Gomori trichrome staining, grade 2 fibrosis was demonstrated. However, there was no splenomegaly and the abdominal pain was not understood. A PET-CT scan showed metabolically active mediastinal and hilar lymph nodes. A histological biopsy showed CK7-positive epithelial cells with the typical morphology of signet ring cells (C). Subsequently a gastroscopy confirmed the diagnosis of gastric cancer. With this finding, an additional staining on the bone marrow biopsy also showed solitary signet ring cells (D). He was thus diagnosed with gastric cancer with lymph node and bone marrow metastases. Previously, secondary myelofibrosis had been described as a rare paraneoplastic syndrome. The clinical course was complicated by cerebral, kidney and spleen infarctions. His (neurological) condition deteriorated, possible due to new cerebrovascular events which occurred despite anticoagulant therapy, and unfortunately he passed away one month after presentation.

Advertisement intended for health care professionals