Advertisement intended for health care professionals

l

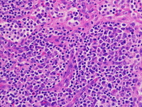
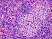
Lymph node; H&E; 20X objective.

Lymph node; H&E; 20X objective.
#00062985
Author: Vanessa Kimiko Martin Hoang, DO,MMSc; Le Aye, DO
Category: Myeloid Neoplasms and acute leukemia (WHO 2016) > Mastocytosis > Systemic Mastocytosis (SM)
Published Date: 04/13/2020

The left supraclavicular lymph node demonstrates partial effacement of normal lymph node architecture by expansion of the interfollicular areas and dilated sinuses.  Few scattered small follicles with germinal centers are present. 


Advertisement intended for health care professionals