Advertisement intended for health care professionals

l

POEMS syndrome (A)

POEMS syndrome (A)
#00063029
Author: Bryan Tordon; Mohamed Almiski
Category: Lymphoma: Mature B-cell and Plasma cell Neoplasms > Virus-associated lymphoproliferations > HHV8-associated lymphoproliferative disorders
Published Date: 05/19/2020

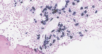
CD138+ plasma cells rimming a lymphoid aggregate (40x magnification).


Advertisement intended for health care professionals