Advertisement intended for health care professionals

l

Human babesiosis

Human babesiosis
#00063037
Author: Bryan Tordon; Daniel Marko
Category: Infectious Disease > Parasites > Babesia
Published Date: 05/29/2020

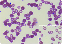
Wright-stained peripheral blood smear showing intraerythrocytic infection of parasitic babesia spp. with both ringed and round-shaped forms.

Hematologic complications of babesia include a hemolytic anemia that occurs when the parasite exits the cell following replication, leading to membrane rupture and thrombocytopenia. Immune-mediated cytopenias have also been described.

Advertisement intended for health care professionals