Advertisement intended for health care professionals

l

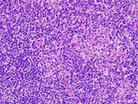
NLPHL MUM1

NLPHL MUM1
#00063074
Author: Subramaniam Kandasamy, MD
Category: Lymphoma: Hodgkin Lymphoma > Nodular Lymphocyte Predominant Hodgkin Lymphoma
Published Date: 10/16/2020

MUM1 Positive

Advertisement intended for health care professionals