Advertisement intended for health care professionals

l

Pyruvate kinase deficiency in a newborn with extramedullary hematopoiesis in the skin

Pyruvate kinase deficiency in a newborn with extramedullary hematopoiesis in the skin
#00063147
Author: Richard A. Voit; Rachael F. Grace
Category: Red Cell: Hemolytic Anemia (HA) > Hereditary HA due to Enzyme Deficiency
Published Date: 08/24/2020

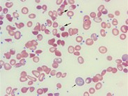
A full-term female neonate presented at birth with hypoxemia, hypoglycemia, and rash. Blood work revealed anemia (hemoglobin [Hb], 7.6 g/dL), reticulocytosis (369 × 10 9/L), and elevated nucleated (n) red blood cell (RBC [nRBC]) count (270 nRBCs per 100 white blood cells). Lactate dehydrogenase (LDH) was elevated (3545 U/L), but bilirubin peaked at 2.9 mg/dL, and she did not require phototherapy. She had a violaceous, papular facial rash (panel A), consistent with extramedullary hematopoiesis, but no hepatosplenomegaly. Peripheral smear (panel B; original magnification ×400; Wright-Giemsa stain) revealed polychromasia (single white arrow) with nRBCs, including orthochromic (double white arrows), polychromic (single black arrow), and basophilic (double black arrows) normoblasts. There was anisopoikilocytosis with teardrop cells, acanthocytes, and RBC fragments. RBC enzyme analysis revealed pyruvate kinase activity of 1.4 enzyme units (EU)/g Hb (normal, 3.2-6.5 EU/g Hb) consistent with pyruvate kinase deficiency (PKD). Sequencing of PKLR revealed compound heterozygosity (721G>T, Glu241*; 1484C>T, Ala495Val). She was transfused and had resolution of rash within 1 week. Now 2 years old, she is thriving on a chronic transfusion regimen.PKD is an autosomal-recessive hemolytic anemia with an estimated prevalence of 1:300 000. PKD usually causes anemia, reticulocytosis, and indirect hyperbilirubinemia, but neonates can present with elevated LDH, hyperferritinemia, hypoglycemia, hepatosplenomegaly, respiratory distress, and hepatic failure. This case highlights the need to consider PKD in neonates with presentations outside of the classic indirect hyperbilirubinemia, including in newborns with skin extramedullary hematopoiesis and hypoxemia.

Advertisement intended for health care professionals