Advertisement intended for health care professionals

l

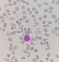
Severe RBC anisopoikilocytosis

Severe RBC anisopoikilocytosis
#00063182
Author: Sandeep ., MD,DM; Satish Kumar A
Category: Myeloid Neoplasms and acute leukemia (WHO 2016) > Myelodysplastic Syndromes (MDS)
Published Date: 08/31/2020

Marked RBC anisopoikilocytosis in a case of MDS with complex cytogenetic abnormalities


Advertisement intended for health care professionals