Advertisement intended for health care professionals

l

Chronic eosinophilic leukemia with FIP1L1-PDGFRA

Chronic eosinophilic leukemia with FIP1L1-PDGFRA
#00063277
Author: Ke Xu, MD
Category: Myeloid Neoplasms and acute leukemia (WHO 2016) > Myeloid/lymphoid neoplasms with eosinophilia and gene rearrangement > Myeloid/lymphoid neoplasms with PDGFRA rearrangement
Published Date: 10/16/2020

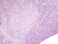
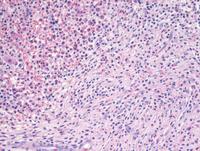
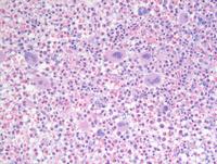
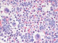
A 70-year-old man presented with persistent eosinophilia. Hb 133 g/L, WBC 70 x10^9/L, Neutrophils 57 x10^9/L, Eosinophils 15.7 x10^9/L, platelet 186 x10^9/L. Bone marrow aspirate is hypercellular. Granulopoiesis is hyperplastic with no excess of blasts.  Eosinophils and precursors are markedly increase accounting for 65% of total nucleated cells.  Some have abnormal lobulation, cytoplasmic vacuolation and patchy granulation. BCR-ABL and JAK2 were negative by PCR. Leukaemia fusion gene (Q30) screen was positive for the FIP1L1-PDGFRA translocation. FISH indicates loss of CHIC2 at 4q12. Other hematologic neoplasms or reactive eosinophilia were excluded.

Advertisement intended for health care professionals