Advertisement intended for health care professionals

l

Pulmonary Cryptococcoma in an immunocompetent patient with suspected lung malignancy – A tumor mimicker and diagnostic challenge

Pulmonary Cryptococcoma in an immunocompetent  patient with suspected lung malignancy  – A tumor mimicker and diagnostic challenge
#00063278
Author: Kanwaljeet Singh; Priyanka Singh; Tathagat Chatterjee
Category: Laboratory Hematology > Body fluids:  abnormal cells and microorganisms with cross-references to specific diagnoses when appropriate
Published Date: 10/19/2020

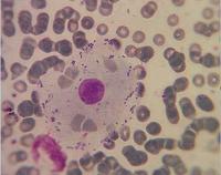
Bronchoalveolar lavage (BAL) cytology smear showing benign bronchial lining epithelial cells and macrophages with intracellular presence of variable sized budding yeast forms(10-14µm), consistent with Cryptococcus species(Leishman Giemsa stain, 100X)

Advertisement intended for health care professionals