Advertisement intended for health care professionals

l

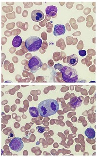
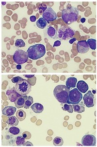
Megaloblastic anemia (100x). 1

Megaloblastic anemia (100x). 1
#00063316
Author: Marianela Posada, MD; David Garrido, MD; Gimena Dos Santos, MD; Sofia Grille, MD, PhD
Category: Red Cell: Other Disorders
Published Date: 11/16/2020

Megaloblastic anemia (100x).


Advertisement intended for health care professionals